Notícias Região

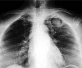
O serviço de telemedicina não funciona nos centros de saúde do distrito de Bragança. As unidades têm os equipamentos necessários para o funcionamento do serviço, mas, até ao momento, não há nenhum protocolo com os hospitais, para a leitura de exame complementares de diagnóstico.

O Centro de Educação Especial (CEE) de Bragança pode conhecer um novo rumo até final do mês. Esta foi a resposta que os dirigentes da FENPROF e do Sindicato de Professores do Norte (SPN) receberem da directora distrital da Segurança Social, Teresa Barreira, durante uma reunião que decorreu na passada sexta-feira, em Bragança.

O concelho de Bragança vai ser dotado de vários centros escolares, para evitar que as crianças façam longas viagens entre as aldeias e a sede do município.

O “stress” foi o tema do seminário que o Sindicato dos Professores da Zona Norte organizou no Auditório Paulo Quintela, em Bragança, na passada sexta-feira.

O secretário regional de Bragança do Sindicato dos Educadores e Professores Licenciados pelas Escolas Superiores de Educação de Universidades (SEPLEU), Carlos Silvestre, desafia os representantes do professorado a sentarem-se à mesa para evitar a organização de eventos em simultâneo.

A sessão estava marcada para o auditório Paulo Quintela, mas a fraca mobilização levou Francisco Louçã a discursar na sede de Bragança do Bloco de Esquerda.

A sede de campanha do candidato do PSD/CDS-PP à Assembleia da República, Cavaco Silva, foi pequena para acolher os apoiantes que, na passada quarta-feira, estiveram na inauguração daquele espaço, situado na Avenida Sá Carneiro, em Bragança.

A Associação de Estudantes da Escola Superior Agrária de Bragança (AEESAB) possui, desde a passada terça-feira, uma nova sede.

Nuno Ferreira é o novo presidente da Associação de Estudantes do Instituto Jean Piaget/Nordeste (AEJP), em Macedo de Cavaleiros.
- « primeira
- ‹ anterior
- …
- 2530
- 2531
- 2532
- …
- seguinte ›
- última »

